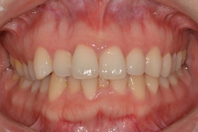
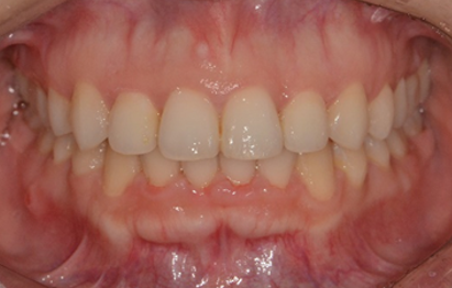
치료 전후사진

Before & After

치아교정은 결과가 곧 실력입니다.

불규칙한 치열 / 비발치 교정
서울린교정치과

20대 여성 / 불규칙한 치열 / 비발치 교정 / 기간 1년 3개월