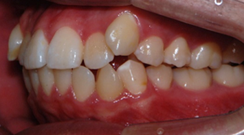
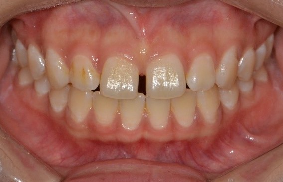
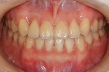
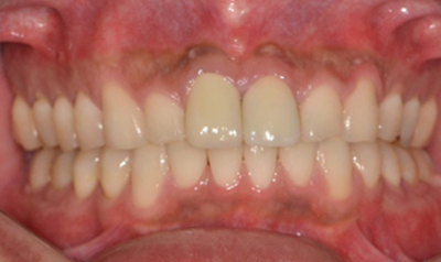
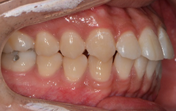
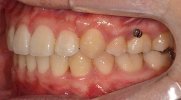
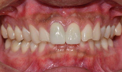
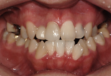
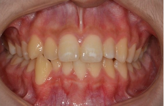
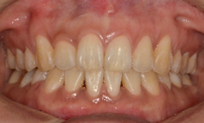
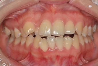
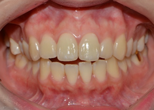
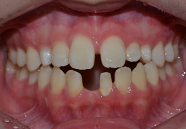
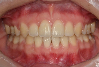
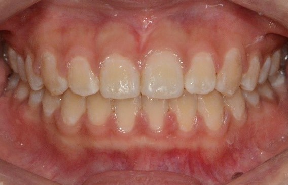
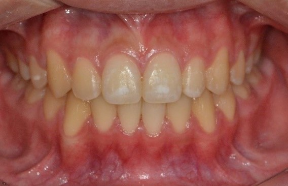
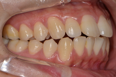
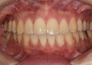
게시물 검색 검색대상 제목 내용 제목+내용 검색어 필수 검색 로그인을 하면 결과를 직접 확인할 수 있습니다. 불규칙한 치열 / 비발치 교정 로그인을 하면 결과를 직접 확인할 수 있습니다. 정중이개 / 비발치 교정 로그인을 하면 결과를 직접 확인할 수 있습니다. 돌출입 / 발치 교정 로그인을 하면 결과를 직접 확인할 수 있습니다. 무턱 / 발치 교정 로그인을 하면 결과를 직접 확인할 수 있습니다. 불규칙한 치열 / 발치 교정 로그인을 하면 결과를 직접 확인할 수 있습니다. 개방교합 / 비발치 교정 로그인을 하면 결과를 직접 확인할 수 있습니다. 돌출입 / 발치 교정 로그인을 하면 결과를 직접 확인할 수 있습니다. 돌출입 / 발치 교정 로그인을 하면 결과를 직접 확인할 수 있습니다. 돌출입 / 발치 교정 로그인을 하면 결과를 직접 확인할 수 있습니다. 개방교합 / 비발치 교정 로그인을 하면 결과를 직접 확인할 수 있습니다. 돌출입 / 발치 교정 로그인을 하면 결과를 직접 확인할 수 있습니다. 과개교합 / 비발치 교정 로그인을 하면 결과를 직접 확인할 수 있습니다. 돌출입 / 발치 교정 로그인을 하면 결과를 직접 확인할 수 있습니다. 결손치 / 비발치 교정 로그인을 하면 결과를 직접 확인할 수 있습니다. 돌출입 / 발치교정 로그인을 하면 결과를 직접 확인할 수 있습니다. 덧니, 돌출입 / 발치 교정 열린1페이지 2페이지 3페이지 4페이지 5페이지 맨끝