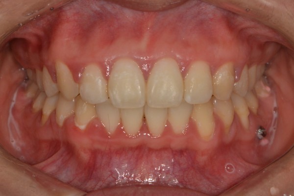
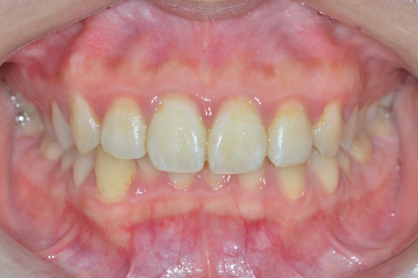
치료 전후사진

Before & After

치아교정은 결과가 곧 실력입니다.