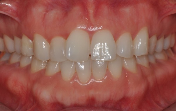
치료 전후사진

Before & After

치아교정은 결과가 곧 실력입니다.

앞니 부분교정
서울린교정치과