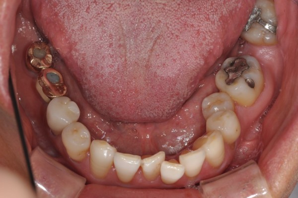
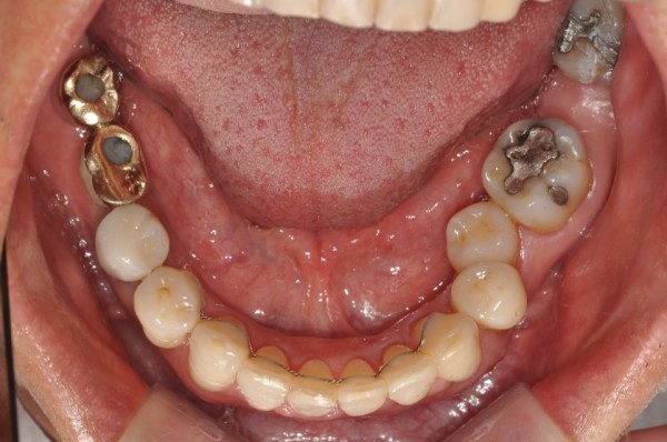
치료 전후사진

Before & After

치아교정은 결과가 곧 실력입니다.

앞니 부분교정 / 중장년 교정
서울린교정치과

*50대 남성 *아래 앞니만 부분교정 *치료기간: 6개월