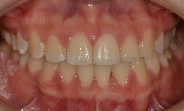
치료 전후사진

Before & After

치아교정은 결과가 곧 실력입니다.

비대칭 / 비발치 교정
서울린교정치과

20대 여성 / 비대칭 / 비발치 교정 / 기간 약 1년 6개월