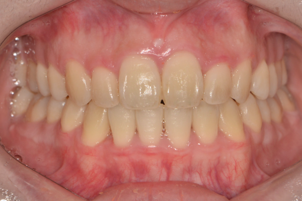
치료 전후사진

Before & After

치아교정은 결과가 곧 실력입니다.

좁은 악궁 / 악궁 확장 / 비발치 교정
서울린교정치과

20대 여성 / 좁은 악궁 / 악궁 확장 / 기간 약 2년