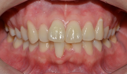
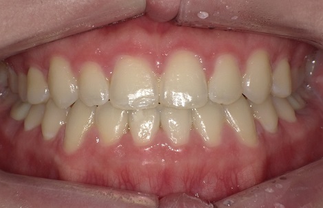
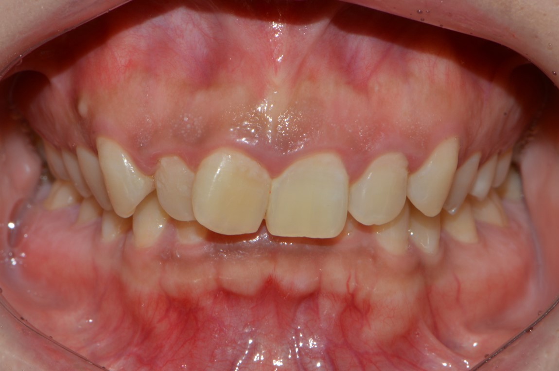
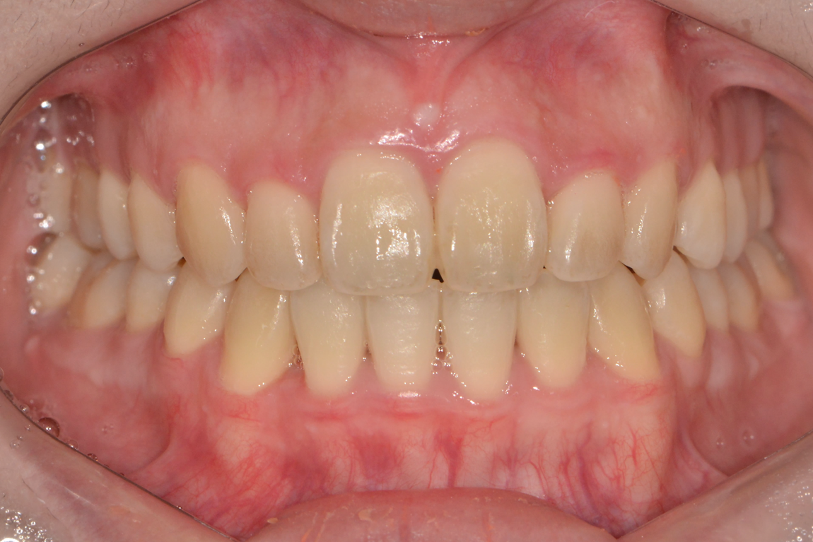
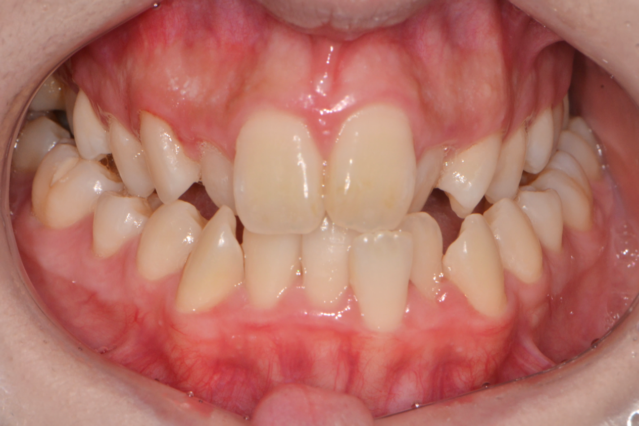
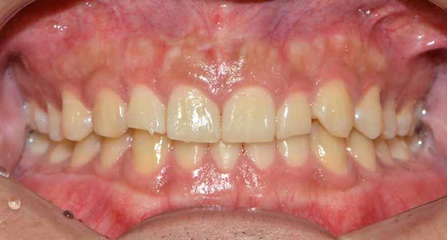
게시물 검색 검색대상 제목 내용 제목+내용 검색어 필수 검색 로그인을 하면 결과를 직접 확인할 수 있습니다. 비대칭 / 비발치 교정 로그인을 하면 결과를 직접 확인할 수 있습니다. 돌출입 / 발치 교정 로그인을 하면 결과를 직접 확인할 수 있습니다. 불규칙한 치열 / 발치 교정 로그인을 하면 결과를 직접 확인할 수 있습니다. 돌출입, 배열 / 발치 교정 로그인을 하면 결과를 직접 확인할 수 있습니다. 돌출입 / 발치 교정 로그인을 하면 결과를 직접 확인할 수 있습니다. 돌출입 / 발치 교정 로그인을 하면 결과를 직접 확인할 수 있습니다. 돌출입 / 발치 교정 로그인을 하면 결과를 직접 확인할 수 있습니다. 돌출입, 배열 / 발치 교정 로그인을 하면 결과를 직접 확인할 수 있습니다. 돌출입 / 불규칙한 치열 로그인을 하면 결과를 직접 확인할 수 있습니다. 돌출입 / 비발치 교정 로그인을 하면 결과를 직접 확인할 수 있습니다. 돌출입 / 비발치 교정 로그인을 하면 결과를 직접 확인할 수 있습니다. 좁은 악궁 / 악궁 확장 / 비발치 교정 로그인을 하면 결과를 직접 확인할 수 있습니다. 과개교합 / 비발치 교정 로그인을 하면 결과를 직접 확인할 수 있습니다. 중심선 교정 / 비발치 교정 로그인을 하면 결과를 직접 확인할 수 있습니다. 잇몸 과다 노출 로그인을 하면 결과를 직접 확인할 수 있습니다. 정중이개 / 반대교합 처음 1페이지 2페이지 열린3페이지 4페이지 5페이지 맨끝