서울리인 아카이브
Seoulean Archive
치과 교정과 전문의가 전하는, 치아교정의 바른 이야기
서울리인 아카이브
Seoulean Archive
치과 교정과 전문의가 전하는, 치아교정의 바른 이야기
[치아교정] 미금역교정치과 / 사랑니만 뽑고도 가능했던 비발치 교정, 자연스러운 입매 완성기
2025.12.12발치는 부담스럽지만 입 돌출은 줄이고 싶은 20대 여성에게 사랑니 발치와 미니스크류를 이용한 비발치 교정을 적용해 치아 배열과 입술 돌출을 동시에 개선한 미금역교정치과 서울리인치과교정과의 실제 치료 사례입니다.
분당 판교 최초! 유일!
서울대 출신, 교정 전문의 2인 공동대표 교정전문치과
안녕하세요, 미금역교정치과 서울리인치과입니다.
비발치 교정을 고민하시는 많은 환자분들께서 공통적으로 하시는 질문이 있습니다.
“치아는 가지런해졌으면 좋겠는데, 발치 때문에 입이 더 들어가거나, 오히려 더 나와 보이진 않을까요?”
1. 초기 내원 동기와 상태
1) 내원 당시 주된 고민
21세 여성 환자분은 다음과 같은 고민으로 내원하셨습니다.
“치아는 좀 더 가지런했으면 좋겠습니다.”
“그렇지만 입이 더 나와 보이는 건 싫습니다.”
즉,
치아 배열은 정리하고 싶지만
발치로 인해 입술선이 과도하게 변하는 것은 원치 않는 경우였습니다.
2) 기본 진단 소견
정밀 검사 결과 : 기본적인 교합 관계는 양호한 편
다만,

2. 치료 방향 설정 – “발치는 부담스럽지만, 돌출은 줄이고 싶다”
환자분의 요구는 명확했습니다.
“발치 교정은 가능하면 피하고 싶다.”
“하지만 옆모습에서 입이 더 나와 보이는 것은 원치 않는다.”
이에 따라 미금역교정치과 서울리인치과교정과에서는 다음과 같은 방향으로 치료를 설계했습니다.
핵심 치료 전략
√ 사랑니(제3대구치) 발치만 시행
√ 미니스크류를 이용한 상·하악 전체 치열 후방이동
√ 그 후에 **비발치 교정(소구치 발치 없이)**로 배열 및 교합 정리
즉, 소구치를 뽑지 않고도:
치아 전체를 뒤로 보내
치아 배열 + 입술 돌출을 함께 개선하는 전략입니다.
이와 유사한 방식의 증례는 이전 포스팅에서도 다룬 바 있습니다.
3. 치료 과정 – 사랑니 발치 + 미니스크류 후방이동
1) 사랑니 발치
· 매복 사랑니 제거
· 치열 후방 이동을 위한 공간 확보

2) 미니스크류 식립 및 sliding jig 적용
사랑니 발치 후 다음 단계로 진행하였습니다.
· 상·하악에 미니스크류(Temporary Anchorage Device) 식립
· sliding jig라는 장치를 이용하여 치열 전체를 후방으로 이동
미니스크류에 대한 자세한 내용은 아래 포스팅을 참고하시면 좋습니다.
▶교정치료를 더 빠르고 정밀하게! 교정용 미니스크류 I 분당교정치과
※ sliding jig의 역할
이 증례에서 사용한 sliding jig는 미니스크류를 고정원으로 삼아 후방이동 시켜야 할 어금니에 직접 힘을 가하도록 고안된 장치입니다.

과거 봉직의 시절, Journal of Clinical Orthodontics(JCO)에 해당 장치에 대한 논문을 게재한 바 있으며
표지 케이스로 선정된 경험도 있습니다.

4. 배열 순서 설계 – “돌출이 더 나와 보이지 않도록”
비발치 교정에서 자주 발생하는 문제 중 하나는,
이번 증례에서는 이러한 문제를 피하기 위해 치료 순서를 다음과 같이 설계했습니다.
치열 후방 이동을 먼저 진행
→ 후방 이동이 어느 정도 확보된 뒤
→ 그 위에서 치아 배열 정리
즉,
돌출이 더 심해져 보이는 “중간 시기”를 최소화하고
최종적으로는 교정 전보다 더 자연스럽고 부드러운 프로필을 얻도록 순서를 조정했습니다.
5. 치료 결과 – 비발치이지만, 더 자연스럽게 들어간 입매
1) 구내 사진 변화
치아 배열이 고르게 정돈
상·하악 교합이 안정적으로 맞물림
후방 이동으로 인해 전체적인 치열 위치가 보다 조화롭게 조정됨

2) 정면·미소·측면 안모 변화
정면 미소 사진
치열이 가지런해지면서 미소선이 더 부드럽고 안정적으로 형성

45도 미소 사진
입술선과 치아 노출 정도가 조화롭게 변화

측면 사진
입술이 전보다 자연스럽게 안쪽으로 정리
코–입술–턱 라인이 보다 균형 있는 곡선을 형성

마지막 내원 시 환자분께서는:
“입이 딱 제가 원하던 만큼 들어간 것 같아요.”
라고 말씀하시며 높은 만족감을 보이셨습니다.
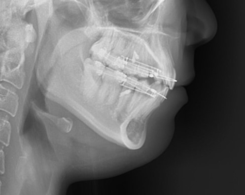
3) 엑스레이 비교

▶ 치열 후방 이동량 확인
▶ 상·하악 치열과 골격 관계가 더 조화롭게 정리된 모습
▶ 교합 안정성 및 치근 상태 확인
6. 정리 – 비발치 교정의 한계를 넘어선 설계
많은 분들이 이렇게 생각하십니다.
“비발치는 돌출 개선이 어렵다.”
“입매를 바꾸려면 무조건 소구치를 발치해야 한다.”
그러나 이번 증례에서 보듯이,
사랑니 발치 + 미니스크류 + 정밀한 후방이동 컨트롤을 통해
소구치 발치 없이도
· 치아 배열
· 입술 돌출
물론,
모든 케이스에 이 방법이 적용되는 것은 아니며
7. 미금역교정치과 서울리인치과교정과의 치료 원칙
미금역교정치과 서울리인치과교정과에서는 교정치료를 다음과 같이 바라봅니다.
교정은 단순히 치아를 “일렬로 세우는 작업”이 아니라
얼굴의 조화를 만드는 과정입니다.
그래서,
▶ 무조건 발치한다고 좋은 결과가 나오는 것도 아니고
▶ 무조건 비발치가 정답인 것도 아닙니다.
가장 중요한 것은,
“현재의 골격과 치열 구조를 얼마나 정확히 이해하고,필요한 만큼만 정교하게 조정하는가” 입니다.
서울리인치과교정과에서는
· 얼굴형
· 잇몸 라인
· 입술 돌출 정도
· 미소 시 치아 노출량
8. 이런 경우라면 상담을 권해드립니다
다음과 같은 고민이 있으시다면 전문적인 진단을 받아보시는 것을 권장드립니다.
“발치는 부담스럽지만, 옆모습에서 입이 조금만 들어갔으면 좋겠습니다.”
“치아는 많이 삐뚤지 않은데, 미묘한 돌출이 항상 신경 쓰입니다.”
“사랑니를 빼야 한다고 들었는데, 이 기회에 교정까지 같이 할 수 있을까요?”
