서울리인 아카이브
Seoulean Archive
치과 교정과 전문의가 전하는, 치아교정의 바른 이야기
서울리인 아카이브
Seoulean Archive
치과 교정과 전문의가 전하는, 치아교정의 바른 이야기
[치아교정] 분당치아교정 돌출입은 무조건 발치? No! 발치 없이 완성한 입매 라인 변화 | 서울리인치과교정과의원
2025.11.19돌출입이라고 해서 모두 발치 교정이 필요한 것은 아닙니다.
분당 판교 서울리인교정치과가 사랑니·치간삭제·미니스크류를 활용해
발치 없이 돌출입을 개선한 30대 남성 실제 사례와 비발치 교정 가능 기준을 자세히 설명드립니다.

분당 판교 최초, 서울대 출신 교정 전문의 2인 공동대표 교정전문치과
분당치아교정 돌출입은 무조건 발치? No! 발치 없이 완성한 입매 라인 변화
돌출입이란 무엇인가요?
돌출입은 윗입술 또는 아랫입술, 혹은 입 전체가 얼굴에 비해 앞으로 튀어나와 보이는 상태를 말합니다.
인상이 강해 보이거나 답답해 보일 수 있고, 입을 자연스럽게 다물기 어려워 입 주변 근육에 힘이 들어가는 경우도 많습니다.
이로 인해 단순히 심미적인 불만족뿐 아니라,
입술 건조,
구호흡,
턱 주변 근육 긴장 등
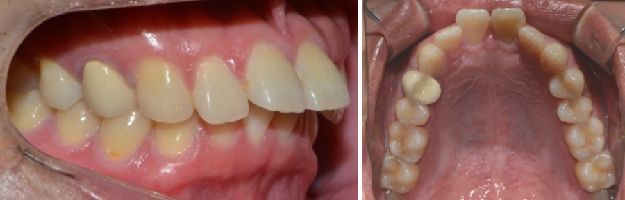
케이스 소개: 발치는 원치 않던 30대 남성
이번 사례는 30대 남성 환자분입니다.
주요 고민은 다음과 같았습니다.
윗니가 전체적으로 뻐드러져 보이고,
입이 전반적으로 튀어나온 느낌이 들며,
가능하면 발치는 하고 싶지 않다는 점이었습니다.

검사 결과를 살펴보면,
윗니가 전체적으로 앞으로 쏠리면서 어금니 교합이 무너져 있었고,
앞니는 뻐드러져 위·아래 앞니 사이의 전후 거리가 상당히 벌어져 있는 상태였습니다.
그럼에도 불구하고, 정밀 진단 결과 “이 케이스는 발치 없이도 개선이 가능하다” 고 판단되어 비발치 교정치료로 계획을 세웠습니다.
치아 배열,
뼈의 구조,
확보 가능한 공간
등을 종합적으로 분석했을 때 **“비발치가 합리적이고 가능한 케이스”**였다는 점입니다.
왜 발치하지 않았을까요?
이 케이스에서 비발치 치료를 선택할 수 있었던 근거는 다음과 같습니다.
즉, “공간이 전혀 없다”기보다는
기존 사랑니 발치 공간
치간 삭제로 확보할 수 있는 공간
을 잘 조합하면, 발치 없이도 치아를 후방으로 이동시키며 돌출감을 줄일 수 있는 케이스였던 것입니다.
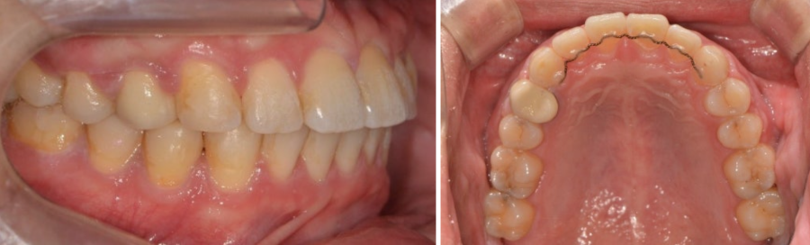
치료 과정
우선 앞니를 포함한 전체 치열에서 불규칙하게 배열된 치아들을 가지런히 정렬하는 단계부터 시작했습니다.
이 과정은 이후 후방 이동을 위한 기초 작업이기도 합니다.
윗니 어금니 부위 잇몸에 교정용 미니스크류(임플란트 스크류와는 다른, 작은 고정원 장치) 를 식립하여 이를 지렛대로 삼고,
윗니 전체를 뒤쪽으로 이동시키는 힘을 걸었습니다.
이렇게 하면 앞니만 뒤로 빼는 것이 아니라, 전체 치열의 위치를 조절하며 돌출감을 보다 자연스럽게 줄일 수 있습니다.
치아 사이 옆면을 아주 미세하게 다듬어(0.2~0.5mm 정도) 공간을 만드는 치간 삭제를 일부 부위에 시행했습니다.
이를 통해 필요한 만큼의 추가 공간을 확보했고, 돌출감을 줄이는 데 보탬이 되었습니다.
(치간 삭제에 대한 자세한 내용은 ‘치간 삭제, 괜찮은 건가요?’ 포스팅에서 좀 더 자세히 다루고 있습니다.)
일반적인 교정 장치와 윗니–아랫니를 연결하는 악간 고무줄을 병행 사용하여, 앞니와 어금니 교합 관계를 섬세하게 맞추며 돌출감을 조절했습니다.
전체 치료 기간은 약 18개월 정도 소요되었습니다.

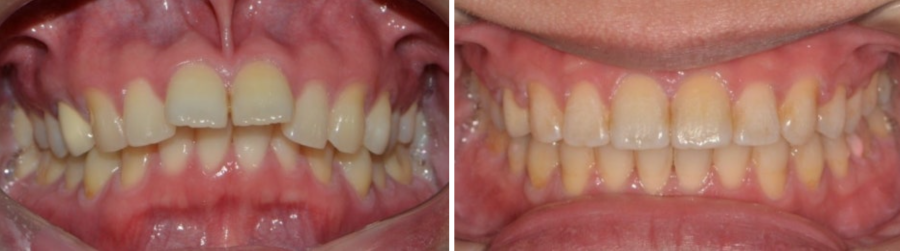
치료 결과: 입매 라인의 변화
치료 전후 사진을 비교해 보면,
윗앞니의 뻐드러진 각도와 위치가 개선되었고
위·아래 앞니 사이의 전후 거리가 줄어들면서
윗입술과 아랫입술의 돌출감이 함께 완화되었습니다.

옆모습에서도 입이 전반적으로 자연스럽게 들어가 보이며, 인상이 부드러워진 것을 확인할 수 있습니다. 환자분께서는
입을 다물 때 훨씬 편해졌고
사진 찍을 때 옆모습에 대한 부담감이 줄었으며
대인관계와 직장 생활에서도 자신감이 높아졌다고 말씀해 주셨습니다.

꼭 발치해야 하나요?
따라서 돌출입 치료에서는
치아와 턱뼈의 구조,
입술 두께와 탄성,
얼굴형,
현재 치열의拥挤(공간 부족) 정도,
사랑니 유무와 위치
발치가 두려우신가요? 비발치 가능성부터 확인해보세요
그렇다면
“무조건 발치” 또는 “무조건 비발치”가 아니라,지금 내 상태에서 선택 가능한 옵션이 무엇인지부터 확인하시는 것이 좋습니다.
골격, 치열, 연조직, 습관, 표정 변화를 종합적으로 평가한 후
발치/비발치 가능성을 포함한 여러 치료 시나리오를 설명드리고
환자분의 선호와 생활 패턴까지 고려한 맞춤형 계획을 세워드립니다.
앞으로도 유익한 정보를 꾸준히 전해드리는 서울리인교정치과가 되겠습니다. 감사합니다.