서울리인 아카이브
Seoulean Archive
치과 교정과 전문의가 전하는, 치아교정의 바른 이야기
서울리인 아카이브
Seoulean Archive
치과 교정과 전문의가 전하는, 치아교정의 바른 이야기
[치아교정] 분당 판교 교정치과 | 상악 편측 발치교정으로 돌출입과 치열 비대칭 개선하기
2025.11.25안녕하세요, 미금교정치과 서울리인교정치과입니다.
지난 포스팅에서 상악 편악 발치교정에 대해 말씀드렸는데요,
상악 편악 발치로 돌출입 교정하기 – 발치 개수에 따른 차이와 실제 치료 사례
오늘은 상악 편측 발치교정(좌우 중 한쪽 발치) 사례를 통해 돌출입과 치열 비대칭을 효과적으로 개선하는 방법을 안내드립니다.
일반적으로 발치교정은 위아래 소구치를 대칭적으로 발치하여 치아 균형을 맞춥니다.
하지만 전체적인 돌출감이 심하지 않고, 윗니만 상대적으로 돌출된 경우에는 하악 소구치 발치 없이 상악 소구치 한쪽만 발치하는 경우가 있습니다.
어금니 교합의 좌우 비대칭이 심한 경우
상하악 치열의 중심선이 많이 틀어진 경우
전체 돌출감이나 공간 부족이 심하지 않아 상하악 소구치 발치 필요 없는 경우
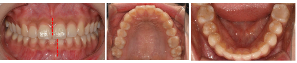
20세 여성, 앞니 돌출 및 웃을 때 비대칭
진단: 편측 치성 2급 부정교합
치료 계획:
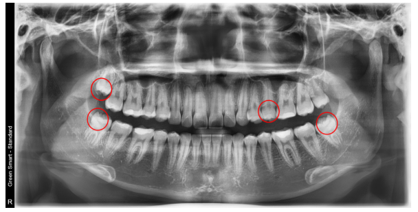
상악 좌측 제2 소구치 발치
상악 우측 & 하악 양측 사랑니 발치
교정용 미니스크류를 이용하여 치아 후방 이동



발치: 상악 좌측 제2 소구치, 상악 우측·하악 양측 사랑니
교정 장치 부착 및 발치 공간 폐쇄
미니스크류 식립 후 치아 후방 이동, 전치열 안정화
상하악 치열 중심선 비대칭
상악 전치 돌출, 하악 전치 각도 양호
좌측 어금니 교합 어긋남, 우측 비교적 안정적
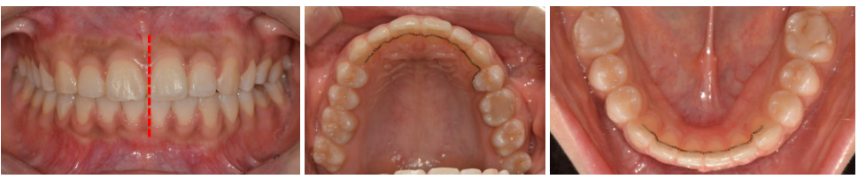
상하악 치열의 중심선 일치
좌측 어금니 교합 안정화
상악 전치 돌출감 자연스럽게 개선
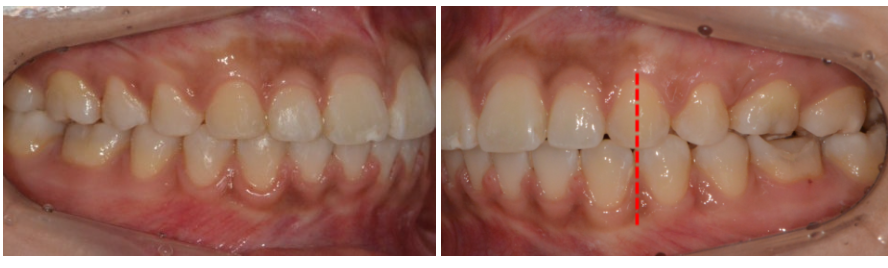
최소 발치로 치열 대칭과 자연스러운 옆모습 달성


불필요한 발치 최소화
자연스러운 옆모습 회복
치열과 교합의 비대칭 개선
모든 환자에게 적용 가능하지 않음
교정 전문의 상담 및 정밀 검사 필수 (교합 분석, X-ray, 3D 스캔 등)
미금교정치과 서울리인치과는 단순 발치 개수가 아닌 얼굴 조화, 교합 안정, 장기적인 치아 건강까지 고려한 맞춤형 교정 치료를 제공합니다.
“양쪽 다 발치해야 하나요?” “꼭 네 개를 뽑아야 하나요?” 고민 중이시라면, 정확한 진단으로 불필요한 발치 없이 최적 결과를 얻을 수 있습니다.
교정치료를 고려 중이시라면, 교정 전문의의 정확한 상담을 받아보세요.