서울리인 아카이브
Seoulean Archive
치과 교정과 전문의가 전하는, 치아교정의 바른 이야기
서울리인 아카이브
Seoulean Archive
치과 교정과 전문의가 전하는, 치아교정의 바른 이야기
[치아교정] 돌출입 원인과 교정 치료 접근 방법
2025.11.15
돌출입 원인과 교정 치료 접근 방법
안녕하세요.
치과교정과 전문의 2인의 대표원장이 직접 상담하고 치료하는 서울리인치과교정과의원입니다.
환자분들은 각각의 고민을 안고 본원에 내원해 주시는데요.
그 중에서도 가장 많은 비율을 차지하는 부분은 바로 ‘돌출입입니다.
돌출입은 말 그대로 치아와 입술 부분이 앞으로 툭 튀어나온 것을 말합니다.
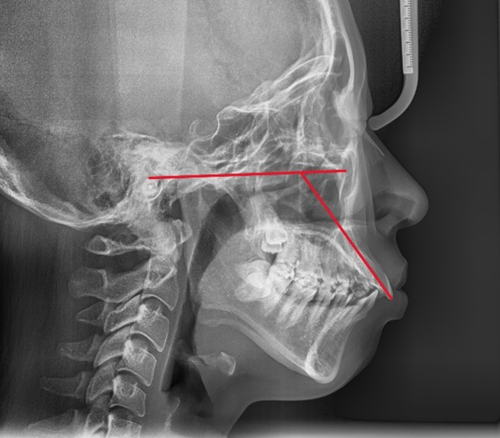
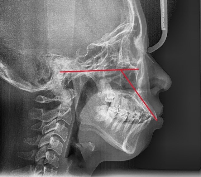
더 정확하게 판단하기 위해서는 옆모습을 보면 알 수 있습니다.

돌출입인지 아닌지를 판단하는 기준은 여러 가지가 있으나, 그 중에서 가장 간단한 방법 중 하나는 측면에서 코 끝과 턱 끝을 일직선으로 연결했을 때 입술의 위치를 평가하는 것입니다.
입술이 그 라인보다 앞쪽에 있다면 돌출입으로 판단할 수 있습니다.
이러한 형태는 구강 건강을 해칠 뿐 아니라 심미적으로도 좋지 않은 영향을 미쳐 콤플렉스로 자리잡는 경우가 많습니다.
돌출입의 원인은 무엇일까?
그렇다면 돌출입이 발생하는 원인은 무엇일까요?
돌출입은 치아 배열의 불균형이나 턱뼈 발달 등 다양한 원인으로 발생할 수 있으며, 환자의 상태를 정밀하게 진단한 뒤 교정 치료를 통해 기능적 개선과 심미적 균형을 개선할 수 있습니다.
아래에서 더 자세히 알아보겠습니다.
1. 선천적 요인 – 유전

부모 중 한 분이 돌출입이라면 유전적 영향으로 인해 자녀들에게도 이러한 증상이 발생할 가능성이 높습니다.
2. 후천적 요인 – 습관

|

돌출입의 주요 증상은 다음과 같습니다.
1) 웃을 때 잇몸이 과하게 드러난다.
2) 입술이 두꺼워 보인다.
3) 입술이 쉽게 벌어져 구호흡을 하게 된다.
4) 입을 다물면 입 주변이 부자연스럽고 퉁명스러운 인상을 준다.
5) 부정교합이 동반될 경우, 음식물을 저작하는데 어려움을 겪거나 발음이 부정확해질 수 있다.
이러한 증상들로 인해 치아의 기능이 떨어지고 심미적으로 신경 쓰인다면 돌출입 교정을 통해 개선할 수 있습니다.
"돌출입 교정, 진단이 중요합니다"
교정 치료에서는 진단이 가장 중요하다고 해도 과언이 아닙니다.
돌출입의 유형은 크게 3가지로 나눌 수 있습니다.
첫째, 골격성(턱뼈 자체가 튀어나온) 돌출
둘째, 치아 각도가 뻐드러진 경우
셋째, 위 두 가지가 복합적으로 나타나는 경우

치성 돌출


서울리인치과교정과의원에서는 서울대 출신 치과교정과 전문의인 2인의 대표원장이 X-ray, 3D CT, 스캐너, AI 장비 등을 통해 환자분의 구강 상태를 정밀하게 분석하고 교차진단하고 있습니다. 이에, 한 번의 방문으로 2인의 전문의에게 정밀진단 받는 효과를 기대할 수 있으며, 중간에 주치의가 변경되는 일이 없어서 더욱 안심하고 치료를 받을 수 있습니다. 더불어 환자분이 원하는 부분과 치료적으로 필요한 부분 모두 놓치지 않도록 대표원장이 직접 1:1로 상담하여 개인에게 맞춘 치료를 적용하고 있는데요. 단순히 심미적인 개선뿐만 아니라 상하악골의 밸런스, 교합, 치아배열, 그리고 개개 치아의 각도까지 꼼꼼하게 체크하여 기능적으로도 최선의 치료를 제공할 수 있도록 노력하고 있습니다. 지금까지 돌출입 교정에 대한 내용을 말씀드렸는데요. 치아교정 특성상 오랜 기간 공들여야 하는 만큼 교정치과 선택 시 의료진의 임상경력 및 자격, 치과 장비 등을 고려하여 본인에게 꼭 맞는 치료를 받아 보시기 바랍니다. 감사합니다. |