서울리인 아카이브
Seoulean Archive
치과 교정과 전문의가 전하는, 치아교정의 바른 이야기
서울리인 아카이브
Seoulean Archive
치과 교정과 전문의가 전하는, 치아교정의 바른 이야기
[치아교정] 분당치아교정 주걱턱, 꼭 양악수술이 필요한가요? (Part 2) | 서울리인치과교정과의원
2025.11.18주걱턱이라고 해서 반드시 양악수술만 답은 아닙니다.
분당 판교 서울리인치과교정과의원이 실제 사례를 통해 양악수술 없이 비수술 교정만으로 주걱턱과 반대교합을 어떻게 개선할 수 있는지 자세히 설명드립니다.

분당치아교정 주걱턱, 꼭 양악수술이 필요한가요? – Part 2
분당 판교 최초,서울대 출신 교정과 전문의 2인이 함께 진료하는 서울리인치과교정과의원입니다.
이전 글 Part 1에서 저희는
주걱턱(하악 전돌증)의 원인
골격적 문제와 치아 문제의 차이
양악수술이 꼭 필요한 경우와, 비수술 교정이 가능한 경우
에 대해 이론과 사례를 중심으로 설명드렸습니다.
이번 Part 2에서는 조금 더 실질적인 이야기로,
“양악수술 없이, 교정치료만으로 주걱턱이 실제로 어떻게 개선될 수 있는지”
실제 치료를 마친 사례들을 중심으로 보여드리겠습니다.
비수술 교정으로 할 수 있는 것, 그리고 기대할 수 있는 변화
치아교정은 말 그대로 치아를 이동시키는 치료입니다.
하지만,
처음 진단 단계에서 비수술 교정이 가능한 케이스를 정확히 선별한다면,
교합(기능)과 심미(외모) 두 가지 측면 모두에서 환자분의 만족도가 매우 높은 결과를 얻을 수 있습니다.
이제 실제 비수술 교정 치료를 성공적으로 마무리한 사례를 보면서 설명드리겠습니다.
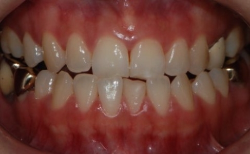
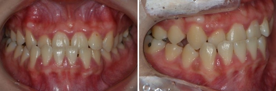
케이스 1. 앞니·어금니가 모두 거꾸로 물렸던 주걱턱, 수술 없이 교정으로
먼저, 비수술 교정으로 치료를 잘 마친 환자분의 치료 전 상태를 보겠습니다.

원칙적으로 이상적인 앞니 교합은
윗니가 아랫니보다 살짝 앞으로 나와
아랫니를 부드럽게 덮어주는 형태입니다.
어금니 역시
윗니가 아랫니보다 약간 바깥쪽에 위치하면서
아랫니를 안정적으로 감싸는 모습이 이상적입니다.
하지만 이 환자분의 경우에는,
앞니와 어금니가 모두 거꾸로 물리는 반대교합 상태였습니다.
환자분께서는
양악수술에 대한 거부감이 매우 크셨고,
심미적인 변화보다는 교합(기능) 개선에 더 큰 비중을 두고 계셨습니다.
그래서 저희는
“턱뼈를 수술로 움직이는 대신,치아이동만으로 기능과 외모를 최대한 개선하는 비수술 교정”
을 목표로 치료 계획을 세웠습니다.
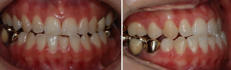
아래 사랑니 발치
아래쪽 사랑니를 발치하여
아랫니 전체를 뒤로 보낼 수 있는 공간을 확보했습니다.
교정용 스크류(미니스크류) 활용
잇몸 뼈에 교정용 스크류를 심어 지지점(anchor) 을 만들고,
이를 이용해 아랫니 전체를 뒤쪽으로 이동시키는 치료를 진행했습니다.
위 치열 폭경 확장
어금니 교합의 부조화를 해결하기 위해
윗니 치열의 폭경을 넓혀
윗니가 전체적으로 아랫니를 안정적으로 감싸줄 수 있도록 조정했습니다.
이 과정을 통해
앞니와 어금니 모두에서 매우 안정적인 교합이 형성되었고,
환자분이 원하셨던 기능적인 개선이 잘 이루어졌습니다.

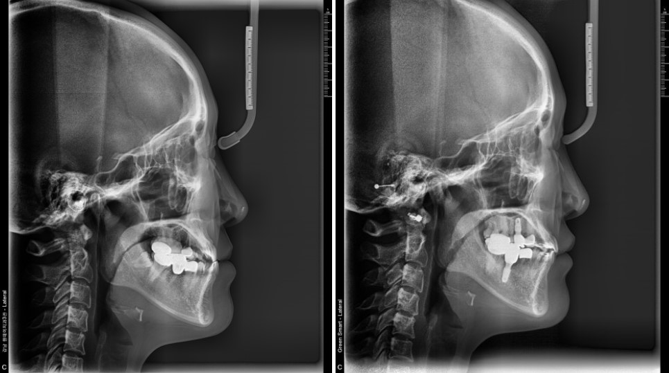
그렇다면 옆모습은 어떻게 변했을까요?
치료 전·후 옆모습 X-ray를 비교해 보면,
수술을 하지 않았음에도 턱과 입 주변의 라인이 부드럽게 개선된 것을 확인할 수 있습니다.

교정 기간 동안 협조도가 매우 좋으셨고,
다른 치료들도 교정 일정에 맞춰 잘 진행해 주셔서
환자분께서는 심미적인 변화에는 큰 기대를 하지 않으셨음에도 불구하고,
저희도 큰 보람을 느꼈던 케이스입니다.
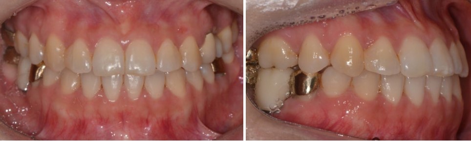
케이스 2. 아래턱 돌출과 비대칭, 비수술 교정으로 가능한 만큼
두 번째 케이스는
아래턱이 앞으로 나와 있으면서 비대칭까지 동반된 경우였습니다.
치료 전 입안 사진과 X-ray를 보면,
교합이 전반적으로 매우 불안정한 상태였고,
옆모습에서도 턱 라인이 거칠게 느껴지는 케이스였습니다.

이 환자분 역시
양악수술에 대한 부담감이 매우 크셨고,
치료 방향은 기본적으로 첫 번째 케이스와 비슷했습니다.
윗니 치열 폭경 확장
위 치열의 폭을 넓혀
윗니가 아래 치아를 더 안정적으로 감쌀 수 있도록 조정했습니다.
아랫니 전체를 뒤로 이동
교정용 스크류를 이용해
아랫니 전체를 후방으로 이동시키는 치료를 진행했습니다.
약 1년 6개월에 걸친 꽤 긴 치료 기간이 필요했지만,
그 결과 올바른 교합 관계가 형성되었습니다.

옆모습 역시,
수술을 한 것처럼 드라마틱하게 변하는 것은 아니지만,
교합이 안정되면서 아랫입술이 자연스럽게 뒤로 들어가고,
얼굴 인상이 한결 편안해진 것을 확인할 수 있었습니다.

정리: 무조건 수술 vs 무조건 비수술, 어느 쪽도 정답은 아닙니다
지금까지 주걱턱 케이스에서 비수술 교정이 성공적으로 마무리된 사례를 간단히 소개해 드렸습니다.
여기서 중요한 메시지는 하나입니다.
주걱턱이라고 해서무조건 양악수술을 해야 하는 것도 아니고,그렇다고 무조건 비수술 교정만 고집하는 것도 답은 아니라는 것입니다.
특히 성인의 경우,
주걱턱의 원인이 턱뼈 자체의 골격 문제에 있고,
위·아래 턱 크기의 부조화가 매우 심한 경우에는
양악수술이 가장 근본적이고 안정적인 해결책이 되는 경우가 많습니다.
그럼에도 불구하고,
수술이 필요한 골격성 케이스에서
그 마음은 저희도 충분히 이해합니다.
의사 입장에서는 “필요하면 수술해야죠”라고 말할 수 있지만,
하지만 Part 1에서 보여드린 사례처럼,
수술이 꼭 필요한 케이스에서
그래서 더더욱 중요한 것은,
“무조건 수술”도 아니고,“무조건 비수술”도 아닌,정확한 진단을 통해 내 상태에 맞는 최선의 치료 계획을 세우는 것입니다.
나에게 맞는 선택을 위해, 가장 중요한 한 가지
정리하자면,
주걱턱이 있다고 해서 모두 수술을 해야 하는 것은 아니고,
가장 중요한 것은,
현재 골격 상태,
위·아래 턱의 크기와 위치 관계,
치아 배열과 교합,
환자분이 원하는 변화의 정도,
전신 건강 상태와 수술에 대한 수용도
이 모든 요소를 고려한 전문의의 정확한 진단과 충분한 상담입니다.
주걱턱 케이스에서 양악수술의 필요성이 궁금하시다면,먼저 교정과 전문의에게 정확한 평가를 받아보시는 것을 추천드립니다.
✅ 이전 글주걱턱의 원인과, 수술/비수술 케이스 구분이 궁금하시다면**「분당치아교정 주걱턱, 꼭 양악수술이 필요한가요? – Part 1」**을 먼저 읽어 보세요.
✅ 상담 안내내 주걱턱이 수술이 필요한 케이스인지,비수술 교정으로 가능한 케이스인지 정확히 알고 싶으시다면분당 판교 서울리인치과교정과의원 교정과 전문의 2인과 상담을 권해드립니다.