서울리인교정치과 4월 진료일정
서울리인교정치과 4월 진료일정

Lean On Us

당신 곁에 언제나, 서울리인치과교정과의원

SCROLL DOWN

Beside you, everything
with Lean!

: Lean On Us

“당신 옆에는 믿을 수 있는
치과가 있나요?”

믿을 수 있는 하나의 치과를 찾는 일은 쉽지 않지만
치아교정만큼은 믿을 수 있는 단골 치과가 필요합니다.

오랜 치료 과정 속에서도 편안함과
신뢰를 줄 수 있는 치과
서울리인치과교정과의원은
당신의 단골 치과가 되기 위해 20년을 준비했습니다.

Lean Doctors

  • 최 윤 영 원장

    치과교정과 전문의

  • 전 현 주 원장

    치과교정과 전문의

Lean Doctors

두 원장의 이야기

서울리인치과교정과의원에는 두 명의 교정 전문
원장님이 있습니다.
두 사람의 인연은 대학시절까지 거슬러 올라갑니다.

두 사람은 20년이 넘는 시간 동안 치아 교정을 전문으로
하며
환자에게 더 편안하고 만족스러운 교정치료를
전할 수 있는 방법을
따로 때로는 같이 고민해 왔습니다.

그리고 이제 두 사람은 그 오랜 고민에 대한 해답을
환자분들께 선물하기 위해 한 자리에 모였습니다.

VIEW MOREVIEW MORE

Love your smile, Every tooth in place, Achieve confidence, Nature

Love your smile, Every tooth in place, Achieve confidence, Nature

2 / 20 / 1+1 / 1:1

서울리인치과교정과의원의 교정이 남다른 이유

서울리인치과교정과의원은 20년 이상 풍부한 임상경험을 갖춘 교정 전문의 2인이 항상 상주하고 있습니다. 더 알아보기 더 알아보기

  • 2

    치과교정과 전문의 2인 직접 진료
    서울리인치과교정과의원의 교정은 페이닥터 없이 치과교정과 전문의인
    두 명의 원장이 진단부터 관리까지 책임지고 진료합니다.

  • 20+

    20년 이상의 교정 임상 경험
    서울리인치과교정과의원의 모든 교정 전문의가 20년 이상
    풍부한 교정 임상경험을 보유하고 있습니다.

  • 1+1

    교정 전문의 2인 협진
    두 명의 교정 전문의 협진으로
    더 정확한 진단과 정밀한 치료 계획 수립이 가능합니다.

  • 1:1

    소통을 통한 개인 맞춤 진료
    꾸준한 상담을 통해 치료 상황에 맞도록 섬세하게
    치료 계획을 수정하며 단계별 맞춤 교정 치료를 진행합니다.

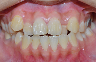
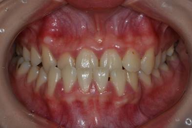
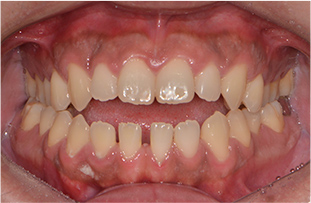
Before & After

치아교정은 결과가 곧 실력입니다

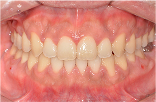
[잇몸 과다 노출]

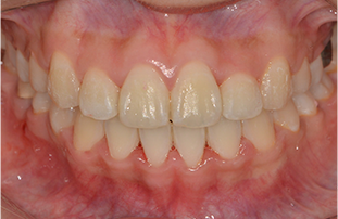
[돌출입/ 중장년 교정]

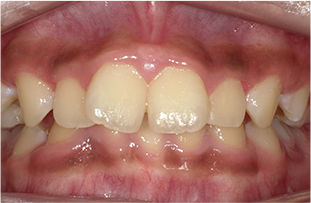
[반대교합 / 비발치 교정]

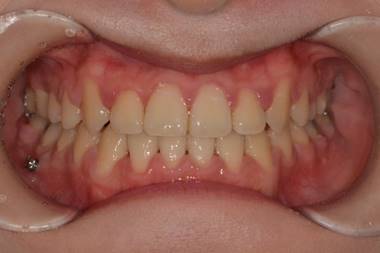
[돌출입]

[불규칙한 치열]

[반대교합]

[과개교합]

[개방교합 / 비발치 교정]

더 많은 사례 보러가기 더 많은 사례 보러가기

Contact us

어서오세요
분당 판교 치아교정의 모든 것,
서울리인치과교정과의원 입니다

  • 10:00 - 18:30

  • 10:00 - 20:30

    (저녁시간 17:30 - 18:00)

  • 09:30 - 13:30

    (점심시간 없이 진료)

  • 13:00 - 14:00

  • ※ 일요일 · 공휴일 휴무

  • 오시는길

    경기도 성남시 분당구 판교역로 178, 6층 (서건타워)
    판교역 도보 3분
    (신분당선 / 경강선 1번, 4번 출구)

  • 주차안내

    병원건물 지하주차장 이용 (인터폰 호출),
    만차 시 호반메트로큐브 주차장 이용

  • 031.706.2879

    ※ 전화주시면 더 빠르고 편하게 상담 및 예약이 가능합니다.